直肠息肉的症状和治疗
患者咨询:解大便时肛门口脱出一个肉球,还带血,大便次数也增多了……出现这些症状,是患了直肠息肉吗?
董金华主任解释:出现莫名的大便习惯改变、肉疙瘩和便血,患上直肠息肉的可能性较大,但也不排除其它肛肠疾病的可能性。值得提醒的是:息肉类疾病具有一定的癌变倾向,患者须谨慎对待。

80%的息肉患者还关心以下问题:
直肠息肉有哪些症状
直肠息肉临床症状常不明显,即使出现某些消化道症状,如腹胀、腹泻、便秘等,也因较轻微和不典型而被人忽视。
一般多以便血、大便带血、黏液血便来就诊,常误诊为痔疮等肛门疾患或“痢疾”而延误其必要的检查。
【特别提醒】若是中老年人群出现上述症状更应警惕,因为肠道癌变的患者中以中老年居多,建议大家有空时及时到医院做一个详细检查。
直肠息肉如何确诊病情?
传统直肠息肉的检查方法包括肛门视诊、直肠指诊,这两种方法多基于医生的专业水平和临床经验,所以很多患者会慕名来到苏州东吴中西医结合医院,专业铸就了好口碑,患者就医更放心。
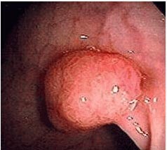
但如果经过视诊和指诊,发现患者有其它疑似疾病,则需借助专业仪器——电子肛门镜进行深度确诊,它采用1200万像素的高清摄像探头,深入直肠,清晰观察每一处病灶,零误诊,以便找准病因,对因治疗。

直肠息肉怎么治疗好?
直肠息肉的治疗包括药物治疗和手术治疗,药物治疗仅适用于病情轻微的患者,且药物治疗的依赖性大,有副作用,无法彻底根治。
据统计显示:75%的肠癌是由腺瘤转化过来的,尤其是直径大于2cm的腺瘤,所以息肉要尽早切除。直肠息肉的手术有:传统的电灼或冷冻切除和新型的微创手术,而传统手术因其创伤大、恢复慢、有后遗症等劣势逐渐被微创术所取代。
即日起,通过网络预约可享以下服务:
选择医生:患者可根据自己的病情,提前选择心仪的医生。
到院即诊:网上预约挂号就诊不排队,避免看病高峰耽误您的时间。










