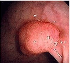
直肠息肉脱出图片
直肠息肉是比较容易发生的肠道疾病,有单发,也有多发,息肉的大小不一,会出现大便出血、排便时肛门疼痛、粘液便等情况。苏州东吴中西医结合医院肛肠专家提醒:越大的息肉越有癌变风险,建议尽早切除。

直肠息肉有哪些症状?
直肠息肉的主要症状为便血、脱垂、肠道刺激症状。
便血:无痛性便血是直肠息肉的主要临床表现,便血的特点为大便带血,而不发生滴血。
脱垂:息肉较大或数量较多时,由于重力的关系牵拉肠粘膜,使其逐渐下垂,可并发直肠脱垂。
肠道刺激症状:当肠蠕动牵拉息肉时,可出现肠道刺激症状,如腹部不适、腹痛、腹泻、脓血便等。
您有哪些症状?点此医生帮您判断病情
科学确诊直肠息肉
电子肛门镜,检查诊治两者具备
苏州东吴中西医结合医院针对传统检查易误诊、漏诊的弊端,引进了电子肛门镜,采用1200万像素的医用摄像技术,深入直肠,能清晰看到病灶部位、病变情况和息肉的数量,用时3-5分钟,预约无需排队,20分钟拿检查结果,无痛舒适。

东吴医生温馨提醒
患者万不可忽视直肠息肉,直肠息肉越大,癌变的几率就越大,即使是良性也有可能转为恶性肿瘤,患者应早发现,早治疗。
患者治疗息肉必须以明确病因为前提,依靠专业的检查仪器,查明病因之后再对症治疗,切不可盲目治疗,否则不仅延误病情,甚至使病情恶化,加大治疗难度。苏州东吴中西医结合医院建院14年以来,已成功为众多肛肠患者送去健康福音。“治肛肠,到苏州东吴中西医结合医院”在苏州几乎喻户晓。









